淡水鱼细菌性败血症简称细菌性败血症,是由细菌感染引起的败血症。该病是我国养鱼史上危害鱼种类最多、流行地区最广、流行季节最长、造成损失最严重的一种急性传染病。本文将对其流行情况、症状,病理特点及防治作简要阐述。
一、流行情况、症状及病理特点
2020年9月全国水产养殖病害预测预报显示,淡水鱼细菌性败血症病原主要为嗜水气单胞菌,危害鲫、鲢、鳙等多种淡水鱼类,在9℃~36℃水温区间均流行,该病可通过病鱼,病菌污染饵料以及水源等途径传播,鸟类捕食病鱼也可造成疾病在不同养殖池间传播;一旦该病暴发流行,3~5天内可造成鱼类大批死亡。易感染鱼群涵盖夏花鱼种到成鱼,以2龄成鱼为主。除精养池塘模式易发生病例外,网箱、网拦、水库养鱼等模式也都发生。
该病由病原产生毒素,引起鱼体溶血、出血、组织严重坏死,最后导致死亡。疾病早期及急性感染时,病鱼出现上下颌、口腔、鳃盖、眼睛及鱼体两侧轻度充血,此时病鱼食欲减退。疾病严重时部分鱼因眼眶充血而出现突眼(图1),鳞片竖起等症状。剖检时,病鱼全身肌肉因充血而成红色,腹腔内积有黄色或血红色腹水,肝、脾、肾脏肿胀,肠壁充血,肠道内无食物(图2),部分鱼鳃色浅,呈贫血状。

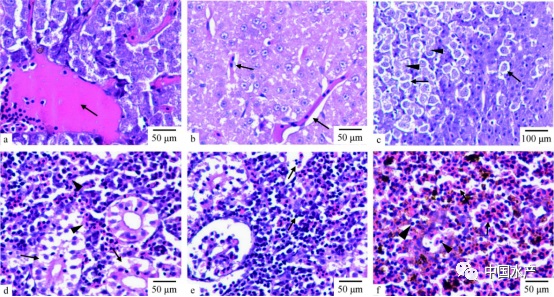
利用组织病理学对感染嗜水气单胞菌病斑点叉尾鮰的组织病理损伤进观察。结果显示,肝小叶中央静脉淤血(图3a);肝血窦受压,体积缩小,狄氏间隙明显增宽(图3b);肝细胞肿胀,广泛性颗粒变性、空泡变性,局灶性肝细胞溶解,结构均质化,部分肝小叶出现坏死灶(图3c);肾小管上皮广泛性颗粒与空泡变性,其间发生坏死、脱落,整个肾小管结构坏死(图3d);肾间质淤血、出血,组织增生,大量淋巴细胞浸润(图3e);脾脏广泛性淤血,其间有淋巴细胞浸润(图3f)。

图3 a.肝小叶中央静脉淤血(→);b.狄氏间隙增宽(→);c.肝细胞肿胀(→),广泛颗粒变性、空泡变性(▲);d.肾小管坏死溶解(→),肾间质淤血、出血(▲);e.淋巴细胞浸润(→);f.脾脏广泛性淤血(→),淋巴细胞浸润(▲)
二、预防及治疗
日常疾病预防、加强养殖池日常管理和控制放养密度及养殖品种搭配是预防本病的关键,主要表现为进行清塘消毒,适时施肥,促进浮游生物合理地生长,保证溶氧充足,加强饲养管理。
在细菌的鉴别上,常规方法为细菌分离培养。使用嗜水气单胞菌毒素检测试剂盒,可在短时间内快速诊断,方法简便,给养殖生产带来了极大的便利。
建议采用中西疗法及外消内服综合治疗:全池泼洒三氯异氰脲酸,内服磺胺药;在控制初期外用固体二氧化氯泼洒全池,内用季铵盐络合碘制剂与饲料混合,鱼饲料一起投放。中医治疗细菌性败血症鱼病主要以内服为主,大黄、侧柏叶、五倍子、大蒜等可用于杀菌、清热解毒,治疗鱼全身感染。中药治疗细菌性败血症可防止病鱼发生抗药性,同时可全面调理病鱼的身体机能。
在用药选择方面,戊二醛为醛类消毒药,可杀灭细菌的繁殖体和芽孢、真菌、病毒。苯扎溴铵为双长链阳离子表面活性剂,季铵阳离子能主动吸引带负电荷的细菌和病毒并覆盖表面,阻碍细菌代谢,与戊二醛合用具有增效作用。出血肠炎宁是专门针对由细菌引起的出血病及肠炎的药物,主要成分是恩诺沙星及增效剂;该产品可以使难溶于水的恩诺沙星成分更多地黏附在饲料表面,从而起到较好的治疗效果。同时配合使用出血宁(亚硫酸氢钠甲萘醌粉),可以促进伤口凝血,达到止血的作用。
三、总结
细菌性败血症发病主要由细菌侵入性致病源所致,在鱼群中发生情况较严重时应该采用西药紧急杀菌控制,再应用中医疗法健脾开胃、补血益气的中药调理治疗,防治鱼儿对西药抗生素产生依赖。在治疗同时,也需注意为鱼儿内部机体提供营养支持,增强免疫力,防止鱼儿再度感染细菌性败血症。
此外,控制养殖密度,定期对养殖池消毒,保持良好水质是减少疾病发生的关键。由于水温升高,夏季是细菌性疾病的多发期,在此期间,养殖户应注意观察,一旦发现有异常鱼体,应及时确诊病原并用药处理。